You are incorrect - the best interpretation of the chest X rays in our patient is right ventricular enlargement + dilated pulmonary trunk + increased pulmonary vascularity.

Your choice: Right ventricular enlargement + dilated pulmonary trunk + decreased pulmonary vascularity

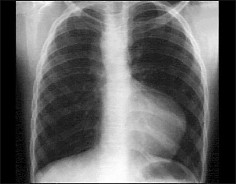
PA

These chest X rays show right ventricular enlargement, a small pulmonary artery trunk and decreased pulmonary vascularity. The PA view suggests right ventricular enlargement by the upturned apex. The small pulmonary trunk is evidenced by the absence of a convex shadow in the left hilar area. Pulmonary vascularity is also diminished, as evidenced by the absence of distal vascular lung markings. These findings are characteristic of Tetralogy of Fallot. Note also the right-sided aortic arch demonstrated by the vascular density along the upper right heart border and the displacement of the trachea to the left. Right-sided aortic arch is seen in about 25% of patients with tetralogy of Fallot.