You are incorrect - the best interpretation of the chest X rays in our patient is that they are normal.

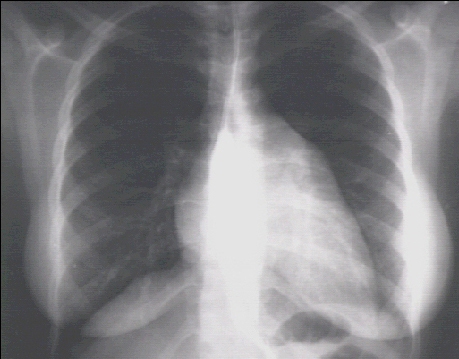
Your choice: Left ventricular enlargement + left atrial enlargement


These chest X rays show left ventricular enlargement and left atrial enlargement. This PA view demonstrates the enlarged left ventricle as an increase in the inferolateral cardiac border associated with an increased cardiothoracic ratio.
The markedly enlarged left atrium is manifested by the double contour within the heart border, an elevated left left mainstem bronchus, and an enlarged left atrial appendage.