You are incorrect - the best interpretation of the chest X ray in our patient is a prominent aortic knob.

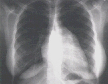
Your choice: Left ventricular enlargement + left atrial enlargement PA and Lat


These chest X rays show left ventricular enlargement and left atrial enlargement. This PA view demonstrates the enlarged left ventricle as an increase in the inferolateral cardiac border associated with an increased cardiothoracic ratio. The markedly enlarged left atrium is manifested by the double contour within the heart border, an elevated left mainstem bronchus, and an enlarged left atrial appendage.

The lateral view with barium swallow, demonstrates posterior displacement of the esophagus by the markedly enlarged left atrium.