You are incorrect - our patient's chest X rays show left ventricular enlargement + left atrial enlargement.

Your choice: Left Atrial Enlargement + Right Ventricular Enlargement PA and Lat

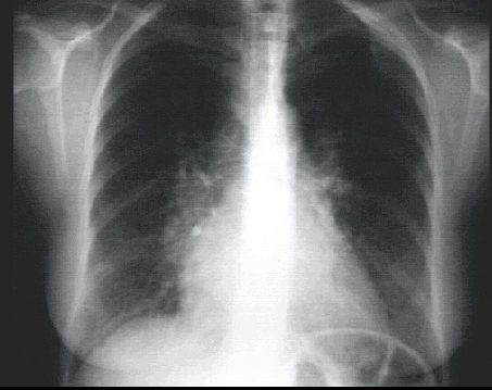
PA view


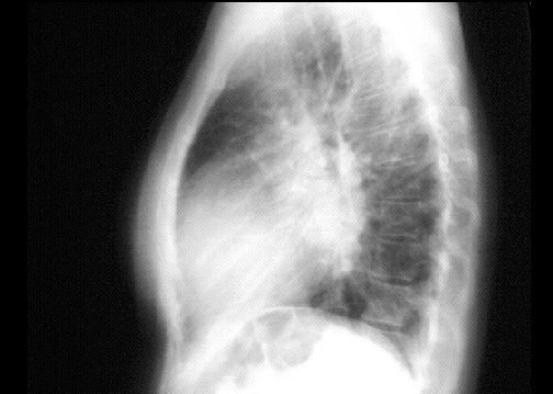
Lateral view



The PA view demonstrates left atrial enlargement, reflected by the double contour within the heart border, an elevated left mainstem bronchus and an enlarged left atrial appendage, causing straightening of the left heart border. Note also that the cardiothoracic ratio is greater than 50%, reflecting cardiomegaly.

In the lateral view, left atrial enlargement is further reflected by the prominent posterior left atrial shadow. Right ventricular enlargement is best seen in this view and is manifested by obliteration of the retrosternal air space.