You are incorrect - our patient's chest X rays are entirely normal.

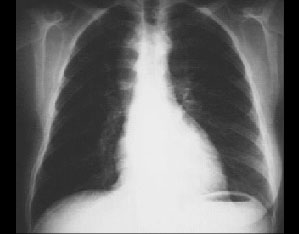
Your choice: Right-sided aortic arch
This overpenetrated chest X ray clearly demonstrates the right-sided aortic arch. While it may be found in patients who are otherwise normal, it is commonly associated with congenital cardiac abnormalities, including tetralogy of Fallot.