U
M
edic
Ventricular Septal Defect
Home
(current)
History
Cardiac Exam
Appearance
Blood Pressure
Carotid Pulse
Jugular Pulse
Precordial Impulses
Cardiac Ausc. Upper Right
Cardiac Ausc. Upper Left
Cardiac Ausc. Lower Left
Cardiac Ausc. Apex
Pulmonary Ausc.
Diagnosis
Summary
Labs
ECG
X Rays
Doppler -Echo
Catheterization
Treatment
Large VSD
Complications
Pathology
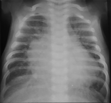
Large Ventricular Septal Defect
Infant with Large VSD
This is the PA chest X ray of a 3-month-old infant with a large ventricular septal defect. It demonstrates increased pulmonary vascular markings and generalized cardiomegaly. Characteristic features include
prominent vascular densities extending out from the mid line
reflecting large central pulmonary arteries.
Large cardiac silhouette
reflecting enlargement of both right and left heart chambers. And
prominent upper left heart border
reflecting a dilated pulmonary trunk. Note also
pulmonary hyperinflation,
reflected by both diaphragms seen at the level of the eleventh rib.
previous
Next