LA / Biventricular Enlargement, ↑ Pulmonary Arterial Vascularity

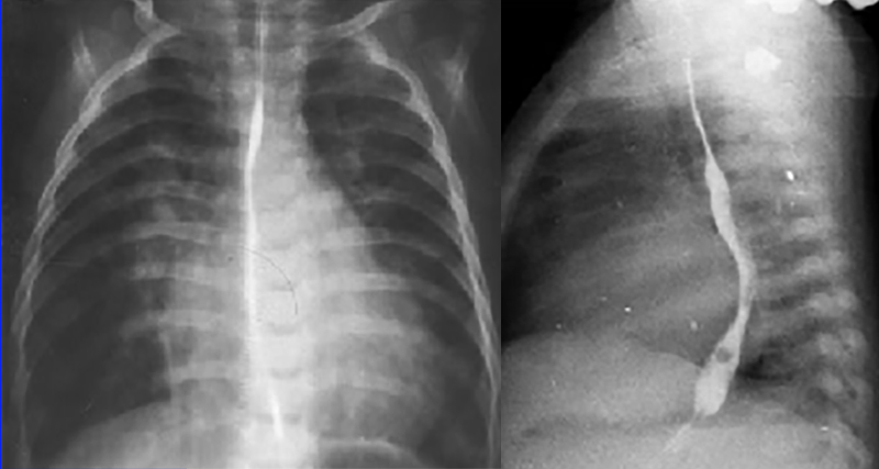
These chest X rays demonstrate left atrial enlargement, right and left ventricular enlargement and increased pulmonary arterial vascularity.
In the PA view, left atrial enlargement is reflected by elevation of the left main stem bronchus.
It is more definitively demonstrated in the lateral view by the posterior deviation of the barium filled esophagus.
The PA view also demonstrates right and left ventricular enlargement, based on the large cardiac shadow significantly greater than fifty percent of the thoracic diameter, extending both leftward and rightward.
Increased pulmonary arterial vascularity is reflected by the dilated central pulmonary arteries and the prominent distal arterial vascular markings.