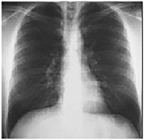
Another Patient's PA Chest X ray

Our patient's portable chest X ray taken in the emergency department showed no acute changes. Due to the recent hypotensive episode, he was not sent to the radiology department for a follow-up X ray.

For teaching purposes, the following PA chest X ray from another patient is presented.




This PA chest X ray is normal. It demonstrates no abnormalities of the bone structures, lung fields or cardiac silhouette. The right and left heart borders are normal as are the great vessels superior to the cardiac silhouette. Note the cardiothoracic ratio is also normal.