You are incorrect - the chest X rays in this patient demonstrate left atrial enlargement, biventricular enlargement and increased pulmonary arterial vascularity.

Your choice: RV Hypertrophy, Small Pulmonary Trunk, ↓ Pulmonary Arterial Vascularity - PA


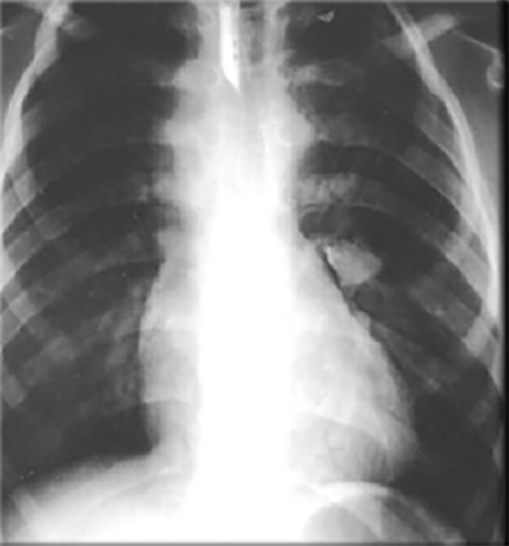
This chest X ray shows right ventricular hypertrophy, a small pulmonary trunk and decreased pulmonary arterial vascularity.
Right ventricular hypertrophy is suggested by the upturned cardiac apex.
A small pulmonary trunk is suggested by the absence of cardiac density beneath the aortic knob, resulting in a straight edge of the upper left cardiac silhouette.
Decreased pulmonary arterial vascularity is suggested by the small size of the central pulmonary arteries shadows and absence of distal arterial markings. This chest X ray is consistent with tetralogy of Fallot.